Bệnh nha chu là gì? Những điều bạn cần biết về nhóm bệnh thường gặp này
Bệnh nha chu là bệnh lý viêm nhiễm mãn tính ở mô nướu và mô nâng đỡ răng. Biểu hiện của bệnh bao gồm nướu viêm đỏ, dễ chảy máu, chảy mủ tiêu xương, răng lung lay, và cuối cùng là mất răng. Hãy cùng BlogAnChoi tìm hiểu về nhóm bệnh phổ biến vùng răng miệng này nhé!
Bệnh nha chu là gì?
Nha chu là khái niệm để chỉ các cấu trúc xung quanh răng, bao gồm nướu (lợi), xương ổ răng và dây chằng. Các mô này có chức năng nâng đỡ và bảo vệ răng, giữ răng cố định trên xương hàm để thực hiện chức năng nhai.

Bệnh nha chu là tình trạng viêm nhiễm các cấu trúc trên, gây hủy hoại chúng và ảnh hưởng nặng nề đến răng. Nếu không được phát hiện và điều trị kịp thời, bệnh nha chu có thể gây mất răng hàng loạt và khiến người bệnh vô cùng khổ sở.
Bệnh nha chu do nguyên nhân gì gây nên?
Cũng giống như sâu răng, các bệnh nha chu bắt nguồn từ yếu tố ngay tại răng như thói quen vệ sinh răng miệng kém hoặc không đúng cách làm vi khuẩn sinh sôi phát triển phá hủy cấu trúc mô. Ở những người mắc bệnh mãn tính, suy giảm miễn dịch, tình trạng viêm nhiễm có thể diễn tiến nhanh và trầm trọng hơn do cơ thể không đủ sức đề kháng chống lại vi khuẩn (yếu tố toàn thân).

Yếu tố toàn thân
- Rối loạn nội tiết
- Rối loạn về máu
- Dinh dưỡng
- Di truyền
- Stress

Yếu tố tại chỗ
- Cấu trúc giải phẫu của răng
- Vôi răng (còn gọi là cao răng)
- Yếu tố do thầy thuốc
- Lực cắn quá mức
Các thể lâm sàng của bệnh nha chu
Như đã mô tả, bệnh nha chu không phải là một bệnh duy nhất mà là nhóm bệnh của nhiều bộ phận khác nhau bao quanh răng. Do đó có thể chia chúng thành từng nhóm nhỏ tùy theo cấu trúc bị ảnh hưởng như sau:
1. Viêm nướu
1.1. Viêm nướu do mảng bám:
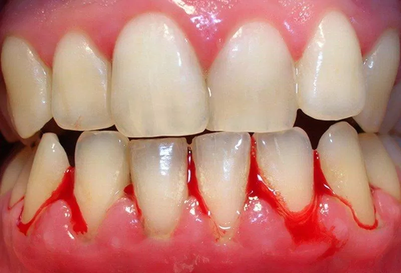
- Quá trình viêm xảy ra ở nướu răng, bình thường nướu có màu hồng như san hô, rắn chắc ôm sát cổ răng. Khi viêm nướu sẽ đổi màu sang đỏ, đỏ thẫm hay xanh
- Nướu lỏng lẻo phập phều, không ôm sát cổ răng
- Mất những chấm lấm tấm ở bề mặt nướu
- Cảm giác đau, sưng đỏ

1.2. Viêm nướu do yếu tố toàn thân
Do yếu tố nội tiết
- Tuổi dậy thì, giai đoạn kinh nguyệt, mang thai, bệnh nhân đái tháo đường
- Hay mắc nhất trong lúc mang thai ngay cả khi có rất ít mảng bám
Do bệnh về máu
- Ung thư máu kết hợp với viêm nướu
- Những dấu hiệu thường gặp: nướu sưng, bở, xốp, dễ chảy máu do hiện tượng thâm nhiễm các tế bào máu

1.3. Bệnh nướu do dùng thuốc
- Thuốc chống động kinh: phenytoine
- Thuốc chống thải ghép: cyclosporine
- Thuốc điều trị bệnh tim mạch: nifedepine, verapamil
- Thuốc tránh thai
1.4. Bệnh nướu do suy dinh dưỡng
- Viêm nướu do thiếu vitamin C
- Chảy máu nướu
- Nướu có màu đỏ rực
- Nướu sưng
1.5. Bệnh nướu không do mảng bám
- Do vi khuẩn đặc hiệu
- Do vi khuẩn herpes
- Do nấm
- Do di truyền
- Do bẹnh lý toàn thân
- Do chấn thương
2. Viêm nha chu

Viêm nướu nếu không được điều trị sớm sẽ làm vi khuẩn lan tràn đến các mô xung quanh, gây tình trạng viêm nha chu nghiêm trọng và khó chữa hơn.
2.1. Viêm nha chu mạn tính
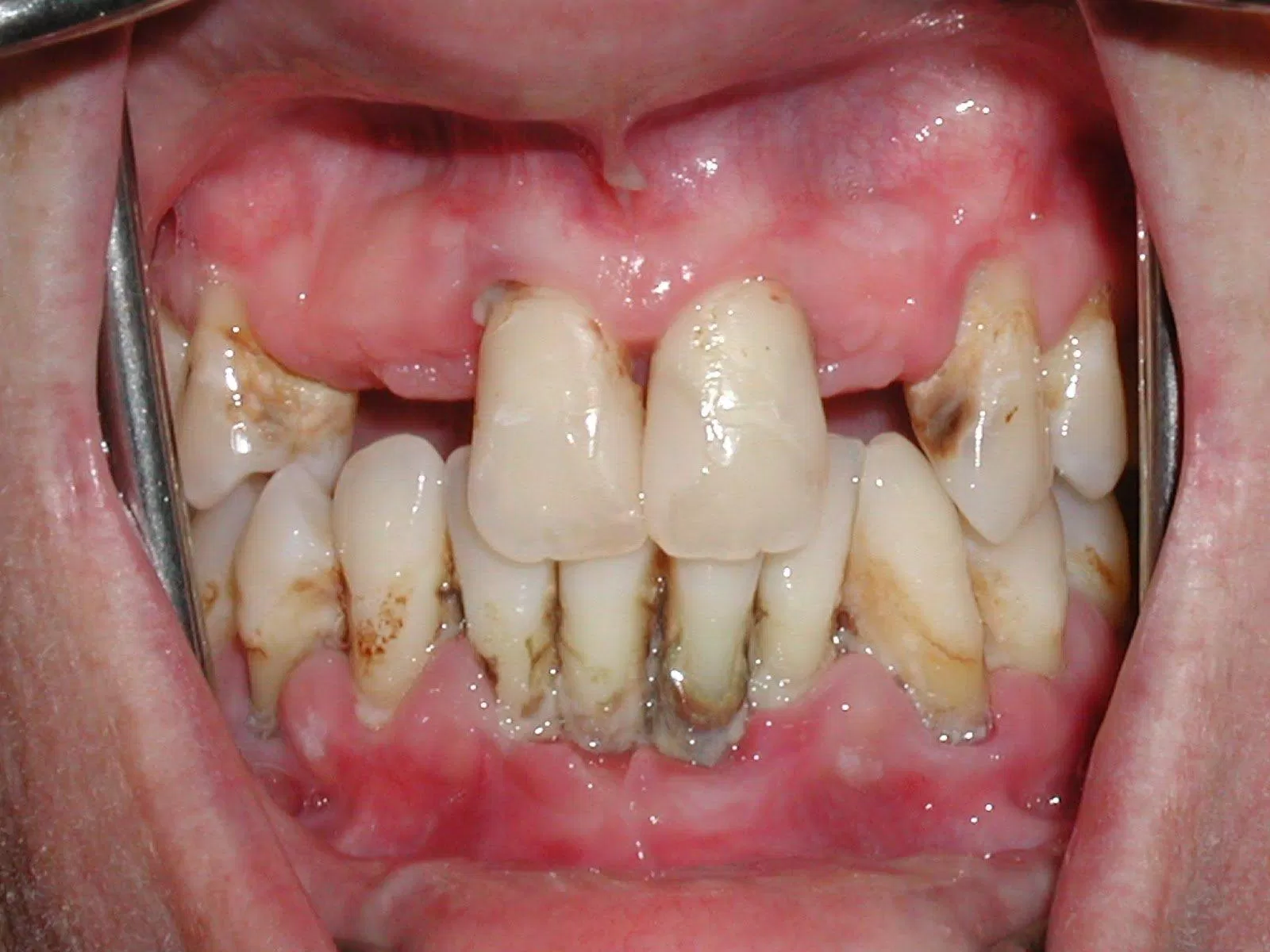
- Hay gặp ở người trưởng thành trên 35 tuổi, có tích tụ mảng bám, vôi răng. Thường gặp ở người mắc bệnh toàn thân: đái tháo đường, nhiễm HIV,…
- Yếu tố tại chỗ: mảng bám, vôi răng,…
- Yếu tố môi trường: hút thuốc, stress
2.2. Viêm nha chu tấn công
- Tốc độ tiến triển bệnh nhanh. Mất bám dính và tiêu xương nhanh
- Mảng bám và vôi răng ít
- Liên quan đến vấn đề di truyền

2.3. Viêm nha chu biểu hiện toàn thân
- Hậu quả của những xáo trộn dẫn tới phá hủy cơ chế bảo vệ cơ thể, ví dụ như bệnh giảm bạch cầu trong máu
- Xuất hiện ở người trẻ
- Phá hủy mô với tốc độ nhanh, răng mất sớm
2.4. Viêm nha chu hoại tử
- Loét và hoại tử nướu, phần loét được bao phủ bởi một lớp màu vàng nhạt trắng hay xám gọi là màng giả
- Nướu chảy máu tự phát khi bị kích thích
- Bênh nhân đau, sốt, hơi thở hôi thối, có thể nổi hạch cổ
2.5. Áp xe nha chu
Là tình trạng nhiễm khuẩn tạo lớp mủ khu trú (khối áp xe) tại mô nha chu
Điều trị bệnh nha chu như thế nào?

Điều trị sơ khởi
Vệ sinh răng miệng là yếu tố then chốt để giảm nhẹ tác hại của bệnh nha chu, tạo điều kiện thuận lợi cho điều trị dứt điểm sau này.
- Chải răng đúng phương pháp
- Sử dụng bàn chải kẽ, chỉ nha khoa tùy điều kiện và tình trạng của bệnh nhân
- Dùng nước súc miệng
- Loại bỏ những hành vi, thói quen không có lợi cho sức khỏe như hút thuốc lá
- Chế độ ăn uống, dinh dưỡng đầy đủ, cân bằng, nhiều chất xơ
- Khám răng định kỳ 6 tháng 1 lần
- Cạo vôi răng trên nướu

Điều trị nha chu không phẫu thuật
- Cạo vôi răng trên nướu và dưới nướu
- Xử lý mặt gốc răng, tạo túi nha chu
- Uống thuốc đúng đơn
- Tái khám sau 4-6 tuần
Điều trị nha chu bằng phẫu thuật
Có nhiều phương pháp phẫu thuật từ đơn giản đến phức tạp để giải quyết bênh nha chu như tái tạo mô có hướng dẫn, ghép mô mềm, ghép xương, cắt nướu,..
Điều trị duy trì
Tái khám mỗi 3 tháng trong năm đầu tiên, sau đó tùy theo kết quả điều trị mà quyết định thời gian tái khám cho các năm tiếp theo.
Điều trị phục hồi
- Trám răng
- Nội nha chữa tủy
- Làm phục hình
- Implant (cấy răng)

Bệnh nha chu là nhóm bệnh rất thường gặp và dễ mắc phải nếu chúng ta không tập thói quen vệ sinh răng miệng đúng cách. Hy vọng bài viết này đã cung cấp cho bạn cái nhìn tổng quan để có thể phòng ngừa bệnh nha chu hiệu quả. Chúc bạn luôn vui khỏe!
Mời bạn theo dõi tiếp những thông tin bổ ích về sức khỏe của BlogAnChoi:
Hôi miệng do đeo khẩu trang suốt cả ngày: Làm thế nào để giải quyết “chuyện khó nói”?